玄 東林
| 専門・得意分野 | 脊椎外科 |
|---|---|
| 出身大学 | 秋田大学(1989年卒) |
| 専門医認定 / 資格 | 日本整形外科学会 整形外科専門医 日本整形外科学会 脊椎脊髄病医 日本整形外科学会 運動器リハビリテーション医 日本脊椎脊髄病学会 脊椎脊髄外科指導医 日本脊椎脊髄病学会 脊髄モニタリング認定医 日本脊椎脊髄病学会及び日本脊髄外科学会 専門医 |

医療法人社団福寿会
脊椎外科は頸椎や胸椎、腰椎に何らかの問題があって、首や腰の痛みや手足の痛み、痺れなどがあり、手がうまく動かせないなどの症状や歩行障害などを抱える方が対象です。
頚部痛や腰痛、上肢や下肢の痺れや痛みなどがありましたらお気軽に脊椎外科外来をお訪ねください。
薬物治療やリハビリ、各種ブロック療法などの保存療法が治療の基本ですが、それにもかかわらず長期間手足の痛みや痺れが続き、手足に力が入らないなどの症状が取れない場合、患者様やご家族とお話し合いの上で手術治療を考えます。
外来では患者様から症状や経過などをお尋ねし、知覚や筋力、腱反射などの神経学的な診察をつぶさに行います。その結果をもとに各画像所見を詳細に読み取ることで正確な診断を行います。手術をする、しないにかかわらず、脊椎疾患の治療にはこのプロセスがきわめて重要です。
手術となった場合、患者様の状況に合わせて最も効果があって、最もお身体への負担の軽い方法を提案させていただいております。
当科では肩こりや寝違えなどによる首の痛みや肩の痛み、腰痛に対しエコーガイド下(エコーを利用した)筋膜リリース(ハイドロリリース)を行なっております。その他仙腸関節症が疑われる場合にはエコーガイド下仙腸関節ブロック、頸椎の神経根症による肩や上肢の痺れや痛みに対しはエコーガイド下神経根ブロックなども積極的に取り入れております。どの治療も即座に除痛効果が得られます。X線を使用しないため放射線被曝がなく、エコーで常に針先の位置が確認でき、安全性の高い治療といえます。
頚部脊柱管を後方から拡大し、脊髄の圧迫を除く手術方法です。
手術後は脊柱管が明らかに拡大しています。
| 術前 | 術後 |
|---|---|
|
|
|
|
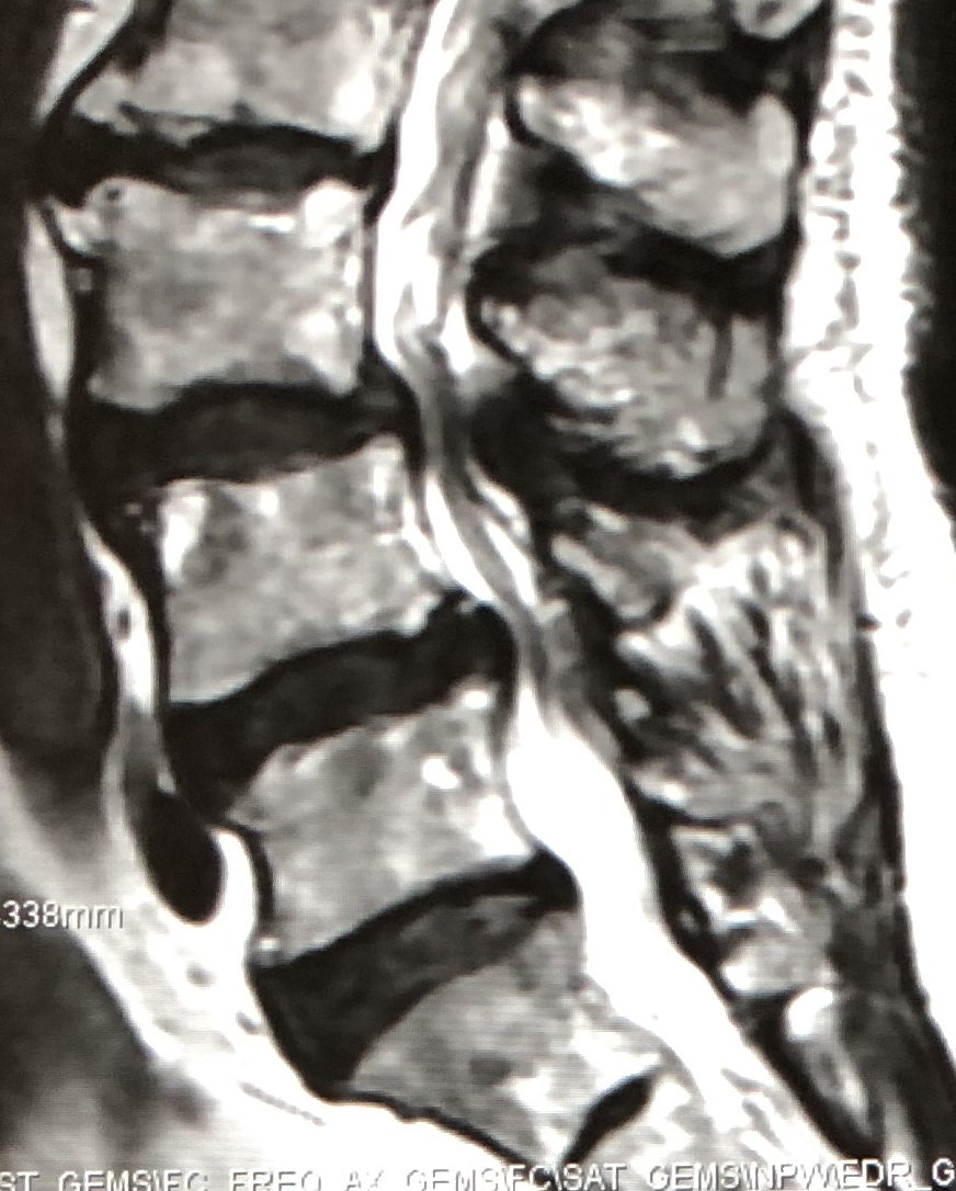
脊椎のすべりにより高度の脊柱管狭窄がある場合に、後方からすべりの矯正や神経の除圧が同時に行える手術です。
| 術前 | 術後 | |
|---|---|---|
| X線 |
|
|
| MRI |
|
|
eXtreme Lateral Interbody Fusion(XLIF)は、主に左脇腹からの小皮切で腰椎に側方からアプローチし、脊椎前方に十分な骨移植を行ない脊椎の矯正固定を行なう手術方法です。脊柱管内には一切触れずにす椎間板の高さを増大させてすべりを矯正し、間接的な神経の除圧が可能です。
| 術前 | 術後 | |
|---|---|---|
| X線 |
|
|
| MRI |
|
|
現在、予定されている休診はありません。
| 専門・得意分野 | 脊椎外科 |
|---|---|
| 出身大学 | 秋田大学(1989年卒) |
| 専門医認定 / 資格 | 日本整形外科学会 整形外科専門医 日本整形外科学会 脊椎脊髄病医 日本整形外科学会 運動器リハビリテーション医 日本脊椎脊髄病学会 脊椎脊髄外科指導医 日本脊椎脊髄病学会 脊髄モニタリング認定医 日本脊椎脊髄病学会及び日本脊髄外科学会 専門医 |