
医療法人社団福寿会
人生100年時代、この高齢化社会にとって「健康寿命」をいかに保つかが課題です。ひざ・股関節の痛みは、年のせいだから仕方がない、と諦めてしまう方も多いようですが、日常生活の幅が狭まり、身の回りのことを自分で行ったり、散歩や外出などの趣味を楽しむことも困難となるばかりか、寝たきりに近い状態にもなり得ます。
地域の皆様の、自分の足で立って歩く、そんな“あたりまえ”を少しでも応援できればと『ひざ・股関節外来』を開設しました。ひざ・股関節の痛みでお困りの際はお気軽にご相談ください。
また、福寿会病院では、肩・ひざ・股関節の障害、スポーツ障害、リウマチによる関節障害など、幅広い関節疾患に対応するために、リウマチ科・整形外科が連携し、『足立関節センター』を設立しました。所属する医師は全員が専門医を有し、各分野のスペシャリストが治療にあたります。確かな経験に基づいた、質の高い医療を提供すべく、スタッフ一同、総力をあげてより良い医療の実現に取り組んで参ります。
*受診の際にはかかりつけ医(整形外科の先生が望ましいですが、他科の先生でも構いません)からの紹介状を持参し、事前にご予約いただきますとよりスムーズな診療が可能です。
ひざ・股関節外来:毎週金曜 15:00~17:00
MISとは筋肉や軟部組織(皮膚など)への負担をできるだけ最小限にして行う手術方法です。皮膚切開の大きさは昔と比較してはるかに小さくなっていますが、その下の筋肉や他の組織のダメージを少なくすることが何よりも重要で、それこそが真のMISと考えています。皮膚切開が小さく、軟部組織も温存できるために術後の痛みが少なく、早期回復・社会復帰が可能となります。
ただし傷を小さくすることにこだわり、無理に手術をすることで筋肉などを傷め、人工関節において最も大切な“正確かつ安全に人工関節を設置する”ことを犠牲にするべきではありません。そのために軟部組織の温存にこだわりすぎず臨機応変に対応することも重要と考えて手術を行っています。

人の体にはたくさんの関節があり、私たちが日常生活を営む上で非常に重要な役割を担っています。関節表面は軟骨という滑らかな組織で覆われており、衝撃を吸収する役割を担い、関節の滑らかな動きをもたらしています。加齢に伴い、関節の軟骨がすり減ってくると、痛みが出現し、関節自体の動きも悪くなり、歩きにくくなってきます。
このように傷んだ関節を金属やセラミック、ポリエチレンなどでできた人工関節に入れ替えることでつらい痛みを緩和し、機能回復することでQuality of life(QOL:生活の質)を向上することができます。
近年、インプラントや技術の進歩により、術後にダンスやゴルフ、水泳などのスポーツを楽しんでいる患者さんも増えています。日本国内でも年々、人工関節置換術を受ける患者さんが増えていて、年間に十数万例以上の手術が行われています。
術後の疼痛をできるだけ少なくするために、低侵襲な手術手技に加え、副作用を最小限に抑えつつ、様々な薬剤を組みわせて痛みをコントロールする“マルチモーダルペインコントロール”を取り入れて、術後早期からリハビリに取り組めるよう心がけています。
また術後の局所の炎症や腫れはスムーズなリハビリの妨げになると考え、術後はアイシングシステムを使用したクライオセラピーを導入しています。クライオセラピーとは『冷却療法』のことで術後に持続的に患部を冷却することで疼痛の緩和、浮腫・血腫などの腫脹、および炎症の抑制などの効果が期待されます。
皮膚は吸収される糸で縫合し、皮膚の状態や手術部位によっては、皮膚表面は専用のテープなどで固定するため抜糸が不要で、傷跡も目立ちません。
3. バイオクリーンルームなどの最新の設備
当院の手術室はクラス1000(*)のクリーンルームとなっており、最も高い清浄度が要求される人工関節などの手術が可能なレベルです。
(*)室内の清浄度の基準で1立方フィート中に0.5ミクロン以上の粒子が何個浮遊しているかを表しています。通常外気はクラス100万、通常の手術室はクラス10000~50000です。
関節鏡手術では最新の4Kカメラを導入しており、より正確な内視鏡手術が可能となっております。主に肩関節・ひざ・股関節の内視鏡手術に使用しています。

最新の透視装置を導入し骨折治療や人工関節手術、神経ブロックなどで使用。その場でレントゲン撮影も可能であり、術後に移動の必要もなく、手術室在室時間の短縮にも貢献しています。

MRI:核磁気共鳴画像撮影装置(キヤノン製1.5T)
全身用80列マルチスライスCT
骨密度測定装置(GE社製)
超音波診断装置(GE社製 Venue Go)
手術によらない再生医療(PFC-FD療法)の導入により、手術以外の選択肢の幅を広げます。自分の血液を使用した最新の再生医療で、保存加療と手術加療の中間の治療として近年注目されています。関節痛に対する保存療法が効果乏しく、手術にも踏み切れない患者様は是非ご相談ください。
より正確に、理想的な位置に人工関節を設置するために、症例によってはナビゲーションを使用して手術を行います。通常のナビゲーションでは骨への侵襲が大きく、大掛かりになりますが、ポータブルナビゲーションは非常に侵襲が小さく、モニター画面に骨を切る角度がリアルタイムに表示されます。変形の程度が強い場合も、より正確な手術が可能となります。

変形が強い場合や、正確な人工関節の設置が困難と予想される場合には、個々の患者さんに合わせて3Dプリンターで作成された患者適合型ガイドを使用して手術を行います。
ガイドに沿ってインプラントを設置できるため、安全性の確保、手術時間の短縮、術前計画通りの正確な手術が可能となります。


人工関節手術ではその効果を引き出すためにリハビリテーションは非常に重要です。手術翌日からリハビリを開始し、早期の離床を目指し、疼痛に応じて歩行器での歩行訓練、関節を動かす訓練などを始めて行きます。歩行練習のみではなく、自宅での生活を見据えて、階段昇降や床上の動作訓練、浴槽でのまたぎ練習など行っていきます。当院は地域包括ケア病棟、回復期リハビリテーション病棟を有し、独居や在宅での生活が不安な場合は、十分なリハビリ期間を設けることが可能で、また退院後の在宅療養についても充実したサポートを提供できることが特徴です。リハビリは365日体制で行っており(週末にリハビリがお休みでガッカリすることもありません)、画一的な入院期間を求められることもなく、患者さんのニーズに合わせて早期退院を目指すことも可能です。入院から退院、退院後の生活まで安心して任せていただけますよう、多職種が連携してサポートしてまいります。
ひざ、股関節を含む、四肢の骨折に対しては、適応があれば手術加療を行い、機能改善および早期の社会復帰を目指しています。
関節を含む骨折は、機能障害を起こしやすく、正確に関節を再建する必要があり、早期リハビリ、機能改善にはとても重要です。
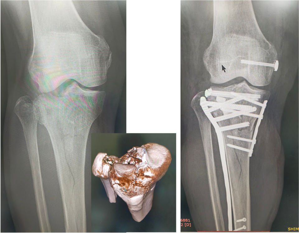
大腿骨遠位端骨折に対する骨接合術
脛骨近位端骨折に対する骨接合術
大腿骨近位部骨折は骨粗鬆症が基礎にある高齢者に非常に多い骨折です。寝たきりになりやすく、また生命予後にも関わるため、早期の手術が望ましい骨折です。
大腿骨転子部骨折に対する骨接合術
大腿骨頸部骨折に対する人工骨頭挿入術
その他、上肢の骨折、足関節や下腿骨などの下肢骨折など、日常的に発生することの多いほとんどの骨折に対する治療に対応しています。
鎖骨遠位端骨折に対する骨接合術




橈骨遠位端骨折に対する骨接合術




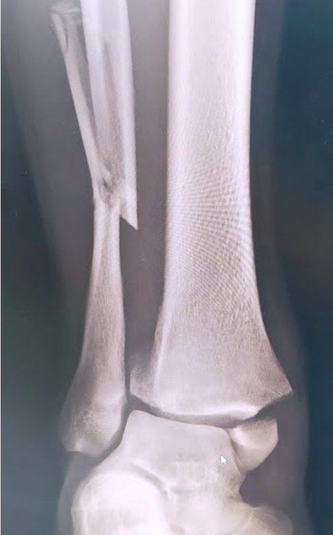
足関節脱臼骨折に対する骨接合術