
医療法人社団福寿会
放射線科では、最新鋭の検査機器を導入し、高度かつきめ細かな「安心と信頼の医療画像サービスの提供」を目指し、患者様に安心して検査をお受けいただく為にスタッフ一同日々努力しております。
検査・撮影は当院診療放射線技師が親切、丁寧に担当させて頂きます。画像は放射線科医師が詳細に読影、診断致します。
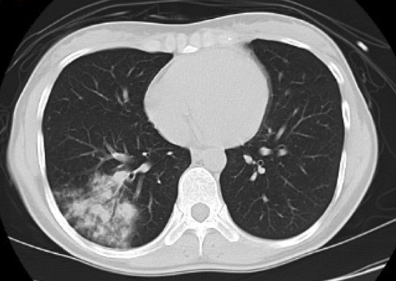
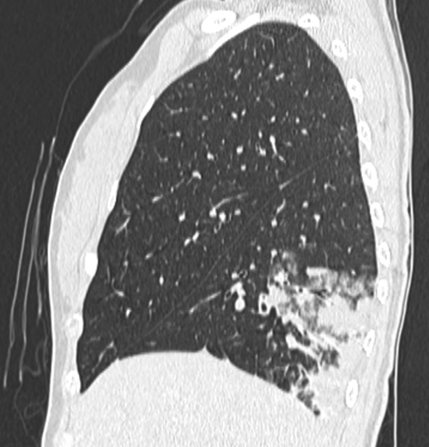
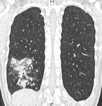
80列マルチスライス撮影により、撮影は約10秒程度です。また、被ばくに対し配慮した設計により、高感度のX線検出器を使用し、低線量、高画質の撮影で安心して検査を受けて頂く事が出来ます。
検査時間が短く、高性能、高画質の1.5テスラMRI装置を導入しています。
腰椎椎間板ヘルニア
肩関節
膝関節
DEXA法による腰椎と股関節の骨密度を測定。
当院ではマンモグラフィー認定女性技師が撮影を担当します。