
医療法人社団福寿会
人の体にはたくさんの関節があり、私たちが日常生活を営む上で非常に重要な役割を担っています。関節表面は軟骨という滑らかな組織で覆われており、衝撃を吸収する役割を担い、関節の滑らかな動きをもたらしています。
加齢に伴い、関節の軟骨がすり減ってくると、痛みが出現し、関節自体の動きも悪くなり、歩きにくくなってきます。
このように傷んだ関節を金属やセラミック、ポリエチレンなどでできた人工関節に入れ替えることでつらい痛みを緩和し、機能回復することでQuality of life(QOL:生活の質)を向上することができます。
近年、インプラントや技術の進歩により、術後にダンスやゴルフ、水泳などのスポーツを楽しんでいる患者さんも増えています。
日本国内でも年々、人工関節置換術を受ける患者さんが増えていて、一年間に十数万例以上の手術が行われています。
当院では最小侵襲手術(MIS:Minimally invasive surgery)で手術を行っています。
MISとは筋肉や軟部組織(皮膚など)への負担をできるだけ最小限にして行う手術方法です。皮膚切開の大きさは昔と比較してはるかに小さくなっていますが、その下の筋肉や他の組織のダメージを少なくすることが何よりも重要で、それこそが真のMISと考えています。
皮膚切開が小さく、軟部組織も温存できるために術後の痛みが少なく、早期回復・社会復帰が可能となります。
ただし傷を小さくすることにこだわり、無理に手術をすることで筋肉などを傷め、人工関節において最も大切な正確かつ安全に人工関節を設置することを犠牲にするべきではありません。そのために軟部組織の温存にこだわりすぎず臨機応変に対応することも重要と考えて手術を行っています。
術後の疼痛をできるだけ少なくするために、副作用を最小限に抑えつつ、様々な薬剤を組みわせて痛みをコントロールするマルチモーダルペインコントロールを取り入れて、術後早期からリハビリに取り組めるよう心がけています。
皮膚は吸収される糸で縫合し、皮膚の状態や手術部位によっては、皮膚表面は専用のテープなどで固定するため抜糸が不要で、傷跡も目立ちません。
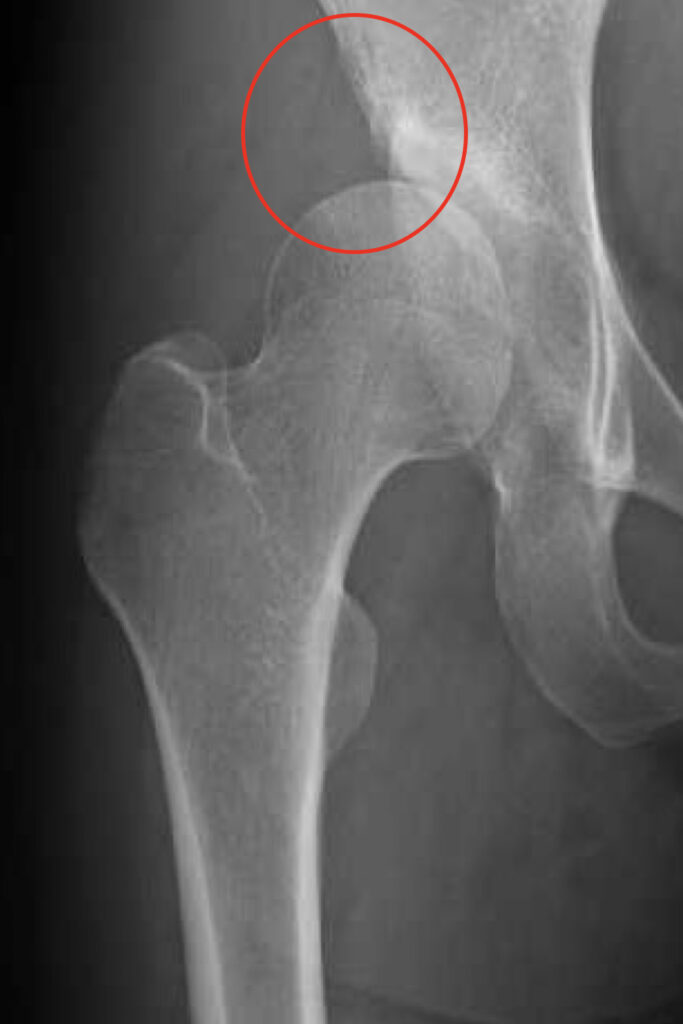
股関節の軟骨がすり減ることで痛みが生じる病気で圧倒的に女性に多いのが特徴です。骨の形の異常から二次的に発症するものが9割で、幼少期の股関節発育不全(臼蓋形成不全)のために骨盤側の受け皿の部分が浅いことが原因です。
〈正常な股関節〉
骨頭が球形で、関節に隙間がある
〈臼蓋形成不全〉
臼蓋の被りが浅い
〈変形性股関節症〉
関節の隙間が消失
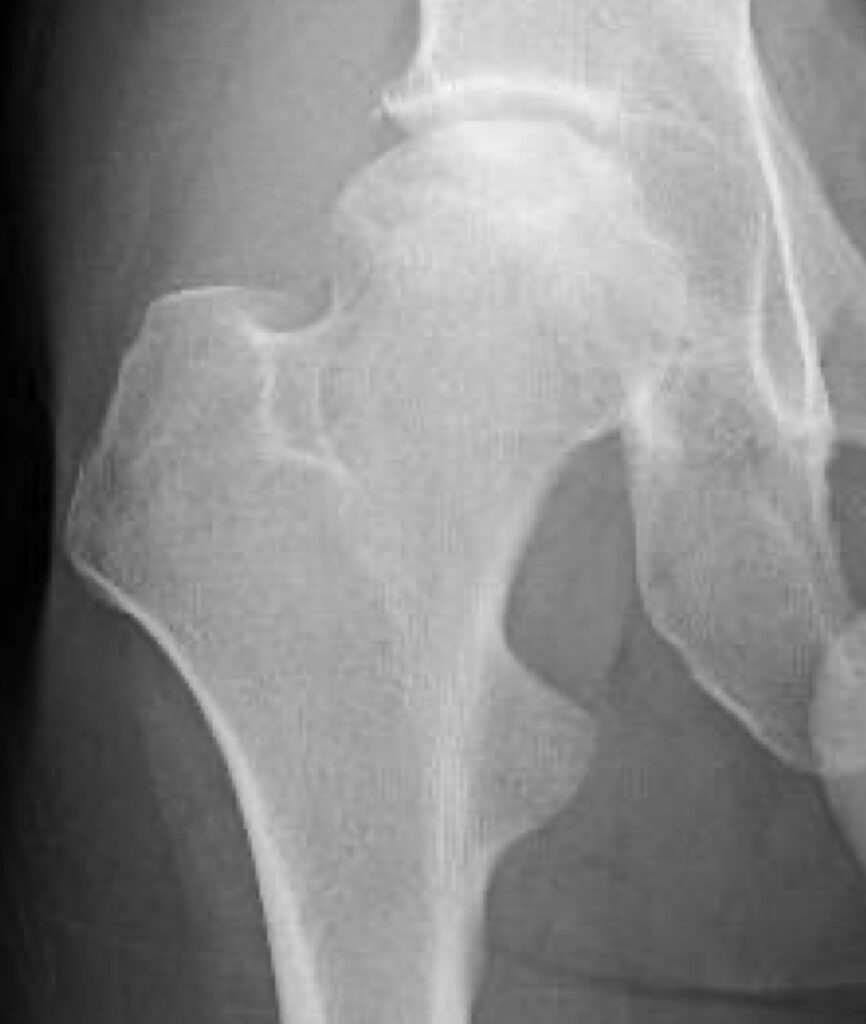
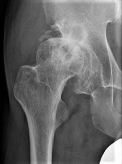
股関節の中心である大腿骨頭が壊死してつぶれるために痛みを生じる病気です。アルコールの多飲やステロイドの使用に関連しているとも言われていますが、いまだにはっきりしておらず国の難病に指定されています。骨頭の破壊が強ければ人工股関節置換術が必要になることがあります。
大腿骨頭壊死のレントゲン
大腿骨頭壊死のMRI
傷んで変形した関節を切除し、人工関節に入れ替えます。
人工関節の材料は金属、セラミック、ポリエチレンが使われており、骨が弱い場合は、骨への固定には骨セメントという樹脂を使用する場合もあります。
術後、大半の方は痛みから解放され、関節の動く範囲も広がり日常生活を送りやすくなります。
近年は材質の進歩が目覚ましく、人工関節のすり減り(摩耗)やゆるみが生じるリスクは非常に少なく、長期の耐久性が期待できます。
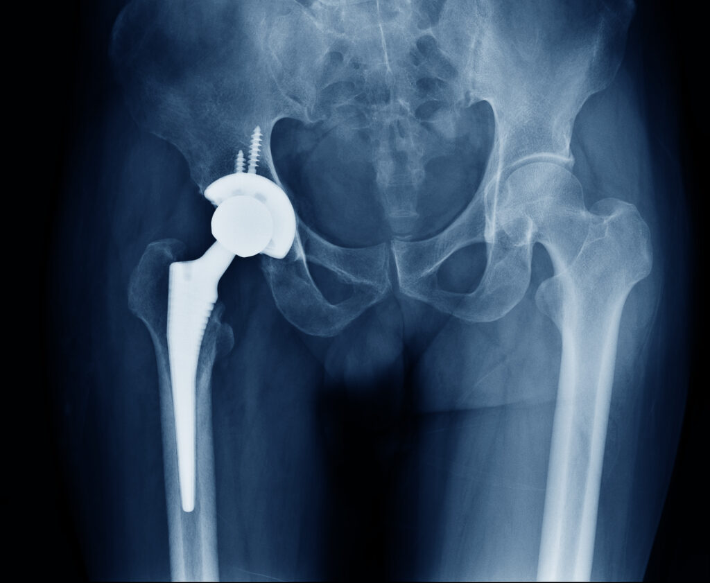
THAの術後レントゲン

MIS(最小侵襲手術)とはできるだけ正常組織を傷めずに手術をすることで、術後の早期リハビリや回復を目指す方法です。
当院ではMISのなかでも特に侵襲が少ないといわれるAMIS(最小侵襲前方手術)という手技で人工股関節手術を行っています。
AMISは、専用の牽引手術台を使用して行う前方アプローチで筋肉をまったく切離せず、さらに関節周囲の軟部組織も極力温存する特殊な方法です。フランスで報告されて以来、世界的にも認められた非常に有用な手技ですが、誰にでも行える手術ではなく、ライセンス認定を受けた医師のみが行える手術手技です。体へのダメージや痛みも少なく、術後の早期回復や高い脱臼抵抗性(脱臼のしずらさ)に貢献しています。
皮膚切開のイメージ
股関節 断面
変形性膝関節症は一次性と原因疾患に続発する二次性に分類されます。
わが国では年齢による退行性変化を主因とする一次性が多く、軟骨のすり減り、骨棘(骨のとげ)を伴い、多くは内反変形(O脚)を呈します。女性に多く、特に肥満との関連が強いといわれています。膝関節には歩行するだけで体重の3倍の力がかかるといわれており、病状の予防や進行を抑えるためには体重のコントロールが最も重要です。
症状には波がありますが、次第に進行し、変形も悪化してきます。まずは保存加療を行いますが、痛みが強く日常生活に支障をきたすようだと、我慢するメリットはありません。痛みのない脚でより良い人生を送るために手術という選択肢もありますので、痛みで悩まれている場合は早めにご相談ください。
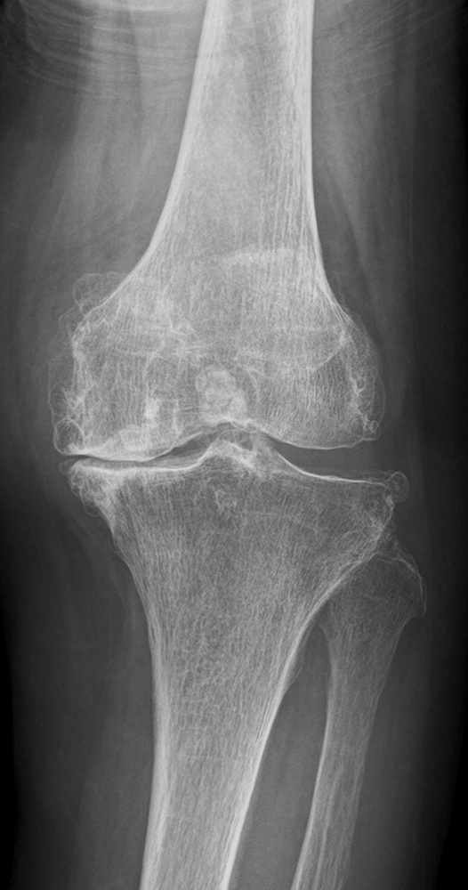
大腿骨顆部は体重を支えるのに重要で、過度なストレスが加わり壊死に陥ることがあります。
原因としてステロイド投与や半月板損傷後などに脆弱性骨折(軽微な外傷により軟骨下骨に微小骨折を生じる)が起こり壊死に至るとされています。安静にしていても痛みが出たり、夜間寝ている間に痛みが出ることもあります。
大腿骨顆部骨壊死のレントゲン
MRI
自己免疫性疾患(免疫の異常によって、体の正常組織を障害してしまう)の一種で全身のあらゆる関節の軟骨が障害される病気です。治療の基本は薬物治療で、近年は新薬の開発により治療成績が飛躍的に向上しています。しかしながら、膝・股関節などの大関節が障害を受けると日常生活が大きく障害されるため、人工関節が必要となることがあります。
傷んだ関節表面を人工関節の形に合わせて削り、金属、セラミック、ポリエチレンでできた人工関節を骨の上に固定します。人工関節の耐久性は10年間弛みなく日常生活が送れる可能性が95%以上といわれ、長期的にも安定した方法です。
手術前
TKAの術後
関節のなかで傷んだ部分だけ(多くは内側の半分だけ)を人工関節に置換します。
メリットは手術の傷や削る骨の量が少ないため、術後の痛みも少なく、回復が早く、膝の曲がりもよいところです。耐久性も悪くありませんが、人工膝関節全置換術と比べると若干手技が難しく、適応をしっかり選ぶ必要があります。
変形が強い場合や、正確な人工関節の設置が困難と予想される場合には、個々の患者さんに合わせて3Dプリンターで作成された患者適合型ガイドを使用して手術を行います。
ガイドに沿ってインプラントを設置できるため、安全性の確保、手術時間の短縮、術前計画通りの正確な手術が可能となります。
より正確に、理想的な位置に人工関節を設置するために、症例によってはナビゲーションを使用して手術を行います。
通常のナビゲーションでは骨への侵襲が大きく、大掛かりになりますが、ポータブルナビゲーションは非常に侵襲が小さく、モニター画面に骨を切る角度がリアルタイムに表示されます。変形の程度が強い場合も、より正確な手術が可能となります。
当院の手術室はクラス1000※のクリーンルームとなっており、最も高い清浄度が要求される人工関節などの手術が可能なレベルです。
室内の清浄度の基準で1立方フィート中に0.5ミクロン以上の粒子が何個浮遊しているかを表しています。通常外気はクラス100万、通常の手術室はクラス10000~50000です。
人工関節手術ではその効果を引き出すためにリハビリテーションは非常に重要です。
手術翌日からリハビリを開始し,早期の離床を目指し、疼痛に応じて歩行器での歩行訓練、関節を動かす訓練などを始めて行きます。
歩行練習のみではなく、自宅での生活を見据えて、階段昇降や床上の動作訓練、浴槽でのまたぎ練習など行っていき、術後2~3週間程度で退院可能となります。
当院は地域包括ケア病棟を有し、独居や在宅での生活が不安な場合は、十分なリハビリ期間を設けることが可能で、また退院後の在宅療養についても充実したサポートを提供できることが特徴です。
入院から退院、退院後の生活まで安心して任せていただけますよう、多職種が連携してサポートしてまいります。